Spraak ännern op:
Deutsch
English
Nederlands
Spraak duurhaft ännern
Bostkasten
op Plattdüütsch
Utspraak op Platt:
/bɔstkastn̩/
Substantiv
Sülven:
Bost·kas·ten
Plural:
Bostkastens
m
de Bostkasten
[1]
Koort wiesen
Opbowoortschatt
aktiv bruukt
Anatomie
×
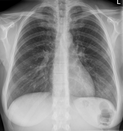
Koort för Ünnerbedüden [1] von „Bostkasten“
warrt dor bruukt
warrt dor nich bruukt
in de Dialektgrupp bruukt
in de Dialektgrupp nich bruukt
noch keen Nawies
🛈
Över de Koorten
Cuxland:
Heinrich Teut:
Hadeler Wörterbuch: der plattdeutsche Wortschatz des Landes Hadeln (Niederelbe).
Wachholtz, 1959, Band 1, Siet 266
plattdüütsch:
de
Ribben
un
de
Ruum
,
de
von
de
Ribben
ümgeven
warrt
düütsch:
Brustkorb
Brustkasten
nedderlandsch:
borstkas
borstkast
ribbenkast
engelsch:
rib
cage
Hellerhoff, CC BY-SA 3.0
Etymologie:
Sett sik tohoop ut:
Bost
+
Kasten
Riemwöör
Plattmakers is en plattdüütsch Wöörbook, dat de Wöör ok in verschedene annere Spraken översett. Mehr Infos.